Blog

How Accurate Is Cardiac Calcium Scoring?
November 1, 2021
A CT cardiac calcium scoring test, also known as a calcium scan, can be suitable for people between the ages of 40 and 70 who have an increased heart disease risk but are not showing any symptoms.
At the end of a calcium scan, patients are given a calcium score. But what is cardiac calcium scoring? How accurate is it? And what calcium scoring software is available? Those are just some of the questions which we will answer in this article.
What is cardiac calcium scoring?
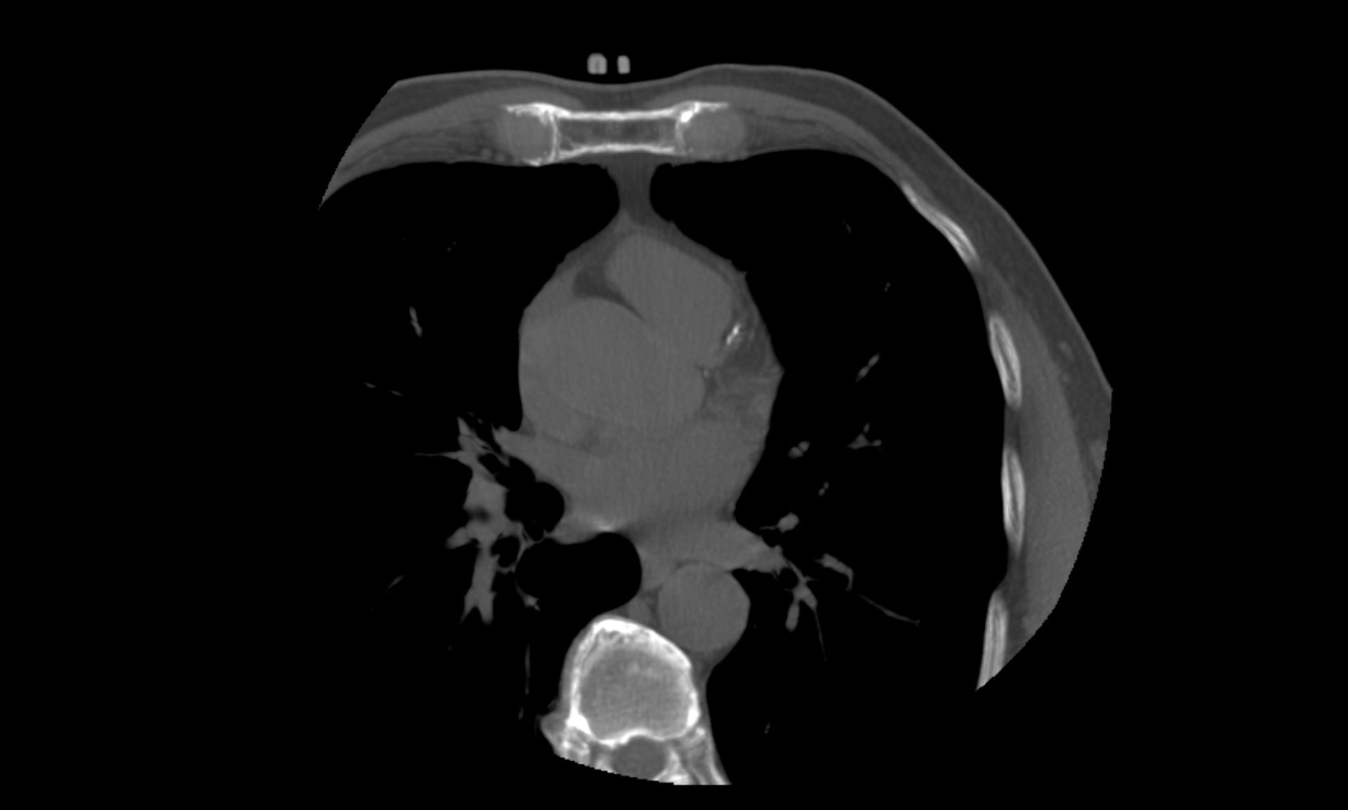
Cardiac calcium scoring tests can be used to determine the risk of cardiovascular disease and heart disease. The tests use a multi-slice CT scanner for the detection of small amounts of calcium or plaque in the coronary arteries. Images can show whether the coronary arteries are narrowed or blocked by any calcium or plaque build-up, which can be an indicator of heart disease.
What is involved in cardiac CT scoring?
Cardiac CT scoring is a non-invasive procedure that involves a CT scanner and works similarly to many other imaging tests. X-ray beams and x-ray detectors will rotate around the patient, measuring radiation absorbed by the body.
The scanner takes a set of images before the table moves and more images are taken. State-of-the-art cardiovascular imaging software is then used to process the data and create cross-sectional images of the body that are displayed on a monitor. The procedure only takes a few seconds and can offer a detailed, multidimensional view.
Who needs a CT cardiac calcium scoring test?
If you are at a higher risk of having heart disease, you might need a calcium scan. Heart disease risk can be increased by factors such as:
- Smoking
- Heart disease running the family
- Being overweight
- Being inactive
- Having a history of diabetes, high cholesterol, or high blood pressure
How accurate is cardiac calcium scoring?
With the information obtained from the test, the amount of calcification can be determined, and this is represented by the calcium score. The calcium score can be used to predict the chance of a heart attack (myocardial infarction) in the future, helping doctors and cardiologists decide on the best treatment.
Calcium scores have a high level of accuracy, due to the clarity of the results produced by the calcium procedure. The multi-slice CT scanner takes pictures of the heart in thin sections. When these images are combined, calcium deposits can be revealed, showing up as white specks. Imaging software can then calculate the score based on the calcification measured. An advantage of the CT cardiac calcium scoring test is that false positive or false negative calcium scores are very unlikely.
Cardiac calcium scoring chart
The scoring chart measures the amount of calcification found, which is used as an indicator for the presence of heart disease. Before the result of your cardiac calcium scoring test is sent to your doctor by the cardiologist, it could be converted into a percentile rank that is based on your gender and age.
The lower your cardiac calcium score and percentile rank, the lower your chance of having a cardiac event in comparison to people of your age:
- A calcium score of 0 means there is no evidence of heart disease
- 1-10 is for minimal evidence of heart disease
- 11-100 is for mild evidence of heart disease
- 101-400 is for moderate evidence of heart disease
- Over 300 is for extensive evidence
Cardiac calcium scoring results
Now we’ve covered the basic structure of the cardiac calcium scoring chart, let’s look in more detail at what the various scoring brackets represent:
- 0 – a score of zero indicates that no calcium has been found in the heart and that your chance of developing a heart attack is low
- 1-10 - a score from one to ten means that your chance of having heart disease is under 10% and that you have a low risk of a heart attack
- 11-100 – a score in this bracket means that you have mild heart disease and that your chance of a heart attack is moderate. In this case, you may be recommended treatment and lifestyle changes
- 101-400 – this score bracket represents a moderate amount of plaque, which could be blocking an artery, and that your chance of a heart attack is moderate or high. A score in this range can mean you will need treatment and that further tests are required
- 400+ - this score means that a large amount of plaque has been identified by the cardiac calcium scoring test and that the chance it is blocking an artery is over 90%. Your chance of a heart attack is high and your doctor will need to start treatment, as well as carry out further tests
Cardiac stress test vs calcium scoring
A cardiac stress test is an examination that involves a patient exercising on a treadmill or exercise bike, while breathing, heart rhythm, and blood pressure are monitored.
Cardiac stress testing was formerly the standard non-invasive test for people with non-acute chest pain. However, as multi-detector CT technology has emerged, cardiac calcium scoring tests have become a more effective alternative for assessing if heart disease is present in patients, as well as its location and severity.
A research paper that reviewed the two tests found that “indirect and direct comparisons between CCTA [cardiac computed tomography angiography] and stress testing consistently revealed superior diagnostic performance by CCTA for the diagnosis of CAD [coronary artery disease] as defined by standard definitions.”
Cardiac calcium scoring software
Circle CVI provides state-of-the-art cardiac CT imaging software tools for the assessment of coronary artery disease. cvi42 is considered to be the leading option for cardiac calcium scoring as it offers more clinically cleared diagnosis tools using semiautomatic calcium quantification, risk classification, and percentile ranking.
cvi42 is an advanced reading and simplified reporting solution that covers:
- Calcium scoring
- Coronary arteries
- Plaque assessment
The fully embedded AI is quick to use and easy to understand. The smart software package also provides cardiac MRI, quantitative perfusion, 4D flow, myocardial strain, interventional planning, and electrophysiology.
Due to advanced imaging capabilities, cvi42 offers a high level of diagnostic accuracy and fast, automatic analysis. Its accurate calcium scoring and automated quantification of calcified, non-calcified, and low-density plaque make it a very powerful tool for both clinical and research purposes.
Find out for yourself why clinicians value accurate and user-friendly cvi42 as an essential tool for cardiac CT scans and calcium scoring. Try cvi42 for 42 days and realize the many benefits of a seamless AI software solution. Download a trial of cvi42 today.
For more information or to talk to a sales representative, contact the Circle CVI team today.
Sources:




Subscribe to our newsletter
Don’t miss future articles or publications.