Blog

Beyond the Calcium Score: How AI-Enabled Coronary Plaque Analysis is Redefining Heart Health
March 17, 2026
For years, the Coronary Artery Calcium (CAC) score has been the gold standard for a quick, non-invasive look at heart disease risk. It’s a vital tool that has helped millions of patients understand if they have "hardening of the arteries." But while a calcium score tells us that plaque is present, it only tells part of the story.
As medical technology evolves, we are moving beyond simply identifying the presence of calcium to a much more detailed understanding of heart disease. With the advent of AI-enabled coronary plaque analysis, such as cvi42 | Plaque, patients and physicians now have access to a deeper level of insight that was previously impossible to achieve through standard screening alone.
What is AI-Enabled Coronary Plaque Analysis?
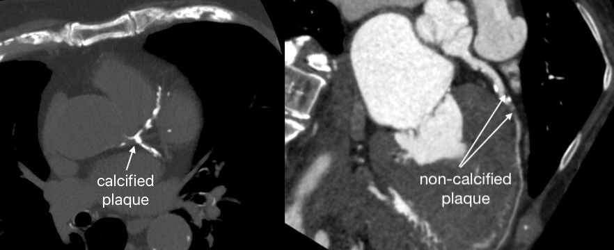
While a traditional calcium score measures the amount of mineralized (hard) plaque in your coronary arteries, AI-enabled plaque analysis looks at the "soft" or non-calcified plaque as well.

The procedure utilizes a Coronary CT Angiography (CCTA)—a common imaging test—and applies advanced Artificial Intelligence algorithms to "map" the entire wall of the artery. The AI identifies, categorizes, and quantifies different types of plaque with precision. This process is now recognized by the medical community with the dedicated CPT code 75577, allowing imaging centers to provide this advanced analysis as a standard part of cardiac care as of January 2026.
The Science: Why "Soft" Plaque Matters
The primary limitation of a calcium score is that it only detects plaque that has already calcified. However, the most dangerous type of plaque is often "soft" or lipid-rich plaque. This type of plaque is more unstable and prone to rupturing, which is the leading cause of heart attacks.
The science behind AI-enabled analysis supports a "phenotypical" approach to heart health. Recent data from the CONFIRM2 Registry demonstrates that AI-guided plaque quantification—specifically non-calcified plaque volume—is a significantly more effective predictor of major cardiovascular events than traditional clinical risk scores or the calcium score alone. Furthermore, the landmark SCOT-HEART trial found that "low-attenuation" (soft) plaque burden was a stronger predictor of heart attacks than either calcium scores or the severity of artery narrowing.
What are the Benefits for the Patient?
If you are a patient concerned about your cardiac risk, AI-enabled plaque analysis offers several distinct advantages:
- A Clearer Picture of Risk: You may have a low calcium score but still possess significant amounts of soft, unstable plaque. Research suggests that many patients with a "zero" calcium score still harbor non-calcified plaque that AI can detect.
- Personalized Treatment: Knowing exactly what kind of plaque is in your arteries allows your cardiologist to tailor your treatment. This might mean more aggressive statin therapy, specific lifestyle changes, or further diagnostic testing.
- Prognostic Value: Studies show that patients with high volumes of non-calcified plaque can have a nearly five-fold increase in the risk of a heart attack. This analysis gives you and your doctor better insight into your heart health.
- Tracking Progress: Because AI can quantify plaque volume so accurately, it can be used in follow-up scans to see if your plaque is stabilizing or shrinking in response to treatment.
What Does the Procedure Entail?
For the patient, the experience is nearly identical to a standard CT scan—it is entirely non-invasive, meaning no needles are threaded into your heart and no surgery is required.
When you arrive at the imaging center, you’ll lie comfortably on a table that slides into the CT scanner. A small IV will be placed in your arm to deliver a contrast dye, which helps the heart's arteries show up clearly on the images. The technologist will ask you to hold your breath for a few seconds while the scanner captures high-resolution 3D images of your heart.

The "magic" happens in the background. The imaging data is processed by the AI-enabled cvi42 | Plaque, which performs millions of calculations to create a detailed report. Because cvi42 | Plaque runs locally at your hospital or clinic, your data remains secure within their environment while giving your doctor interactive control over the final interpretation.
Precision Medicine for Your Heart
We have entered a new era of preventive cardiology. In late 2025, the American College of Cardiology (ACC) issued a scientific statement confirming that quantitative plaque analysis is a powerful tool for enhancing risk assessment and guiding preventive therapies.
While the calcium score remains a helpful starting point, AI-enabled coronary plaque analysis provides the definitive roadmap for understanding your specific risk. By identifying disease in its earliest, most treatable stages, AI is helping patients and doctors stay one step ahead of heart disease.
Taking Action: How to Ask Your Doctor for a "Circle Report"
If you have a family history of heart disease, have received a concerning calcium score, or simply want the most comprehensive view of your cardiovascular health, it’s important to be your own advocate.
AI-enabled plaque analysis is a specialized tool, and not every imaging center uses the same software. If you want the precision and security of a Circle Report, here are a few specific questions to bring to your next appointment:
- "I’ve read about the prognostic value of 'soft' plaque. Can we perform an AI-enabled plaque analysis (cvi42 | Plaque) instead of just a standard calcium score?"
- "Does this facility use the AI tools recognized by CPT code 75577 to quantify my total plaque volume?"
- "Can I receive a 'Circle Report' that maps out my specific plaque burden so we can tailor my preventive therapy?"
- "If we start a new treatment plan today, can we use AI-driven plaque quantification in the future to see if my plaque is stabilizing or shrinking?"
By requesting a
Circle Report, you are asking for a higher standard of clarity. It moves the conversation from "Do I have heart disease?" to "How are we going to treat my specific type of heart disease?"




Subscribe to our newsletter
Don’t miss future articles or publications.